Když diagnóza zní: NEVYLÉČITELNÁ! 1. díl

Ležím v pyramidě. Nebo lépe řečeno, v místnosti s prostorným lůžkem, na kterém je umístěna z hranolů vytvořena pyramida. Má mi dodat sílu, povzbudit můj organismus, léčit. Věřím tomu. Věřím, protože to je to poslední, co mi zbývá.
Blíží se konec roku, čas rekapitulace a zastavení. A já ležím, přemýšlím a rekapituluji:
Je tomu jen pár dní, co naše dcerka oslavila první rok života. Zdá se mi to jako celá věčnost. Bohužel mnohem víc než na ni, musím myslet na sebe. Musím pochopit, proč se mi stalo, to co se mi stalo. Vracím se myšlenkami zpět do toho období po jejím narození a hledám, co je důvodem mých problémů.
Porod dcerky byl lehký, rychlý a krásný. V té době jsem neměla důvod ani informace, abych dceřino narození vnímala jakkoliv jinak. Narodila se v prosinci a byla nejkrásnějším Vánočním dárkem pod stromečkem. Nebylo vše jednoduché, to ne, ale ani natolik složité, abych musela onemocnět. Když bylo dceři asi 4 měsíce, pravidelně ke konci týdne jsem dostala vysoké horečky. Musela jsem hodně odpočívat, byla jsem unavená. Lékařka mi předepsala antibiotika a poslala na různá vyšetření. Měla jsem vyšší CRP, ale jinak se vše zdálo být v pořádku. Už třetí antibiotika nezabírala a doktorka začínala být lehce nervózní a předepsala další vyšetření, tentokrát plicní.
V té době, jsem z horeček a prášků byla velmi unavená a rozhodla jsem se toto vyšetření absolvovat na Moravě u rodičů a nějaký čas si v péči mé maminky odpočinout. Tehdy mě ani ve snu nenapadlo, že náš nový útulný byt, který opouštím, uvidím až za půl roku.
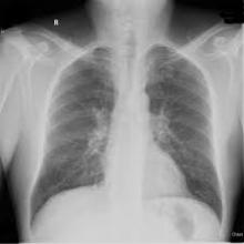
Už první návštěva „plicaře“ v malém městě kousek od bydliště mých rodičů ukázala, že toto vyšetření má smysl. Lékař se zkušeným okem podíval na můj rentgen plic a oznámil: „Máte fibrózu, objednám Vás do nemocnice na důkladné vyšetření.“
Stála jsem jako opařená a vůbec netušila, co se to děje. Neměla jsem strach, protože jsem ani ve snu netušila, co to je fibróza! „A co to jako je, pane doktore?“ ptám se. „To je něco, jako tvrdnutí plic, musím Vám nasadit kortikoidy.“ „Ale já kojím!“ „Domluvte se tedy na dalším postupu v nemocnici.“
V nemocnici mě čekala sonda do plic. Vyšetření, u kterého maté pocit, že vydávíte v nejlepším případě pouze plíce, ale spíš celé vnitřnosti. Nicméně sonda potvrdila původní diagnózu a ortel zněl: Nevyléčitelná nemoc plicní fibróza, ke stabilizaci nemoci nutno nasadit kortikoidy.
„Ale já kojím!“ „Ukončíte kojení, pak se budete hlásit u svého plicního lékaře, kterým Vám kortikoidy předepíše.“
OK. Mám tedy nějaký čas na to, abych se vyléčila. Hledám si veškeré možné informace a zjišťuji, jak závažné onemocnění mě potkalo a jaké „svinstvo“ jsou kortikoidy. S mojí mamkou nasazujeme léčbu vším možným. Za tu dobu jsem vyzkoušela od bylin, přes obklady, zdravé jídlo až po urinoterapii, no prostě skoro všechno. Začalo se mi dařit lépe. Horečky ustaly a já jsem měla pocit, že další návštěva lékaře bude pozitivní. Jediné co se změnilo, byly občasné návaly kašle. Spojovala jsem si to s čištěním plic a představovala jsem si, že vše špatné tímto způsobem z plic odchází. Kdybych měla víc času, možná by to byla pravda, ale musela jsem ještě mnoho zažít, abych mnoho pochopila.
Objednala jsem se bez strachu k lékaři na kontrolu. Dcerka spala v kočárku, bylo jí asi 6 měsíců. Do dnes vidím, jak leží slaďoučce a spinká. Já se nakloním a říkám jí: „Za chvilku se vrátím sluníčko.“ Ta chvilka trvala měsíc a půl.
V ordinaci po zhlédnutí nového rentgenového snímku, mi lékař oznámil, že mám v levém rohu plíce pneumotorax. Laicky řečeno, plíce praskla. Proto ty záchvaty kašle. Okamžitě zvedá telefon a sanitka mě s blikajícím světlem převáží do nemocnice.
Pobyla jsem si ve dvou nemocnicích, celkem asi 7 týdnů. Vyzkoušeli na mě vše možné. Když nefungovalo vyfukování do trubky, připojili mě na úplně nový přístroj, který měl za úkol bublinu na plíci odsát a tím plíci zacelit. Určitě to byl dobrý nápad. Jen shodou okolností mě na tento přístroj připojili v pátek a do pondělí se na mě nikdo nepřišel podívat. Hadička od přístroje se zamotala a dostala opačný chod. Tím přístroj, místo abych pomáhal, začal škodit. V pondělí jsem na tom byla už tak špatně, že mě okamžitě převezli do Brna na operaci. Měla jsem 40°C horečky. Vše kolem mě byla jako ve snu. V Brně jsem si pobyla tři dny a z nedostatku místa, mě vrátili zpět do předchozí nemocnice. Vezla mě stará přeplněná sanitka, byly velké vedra a já dva dny po operaci seděla tu předlouhou cestu asi 3 hodiny. Říkala jsem řidičovi sanitky, ať mě doveze rovnou domů, protože když jsem přežila tuto cestu, přežiji už všechno. Jen se zasmál. Mě do smíchu moc nebylo. Cestou mi popraskaly stehy po operaci a do ran se dostal zánět. Každodenní čištění živé tkáně na chirurgii byla opravdu třešinka na dortu.
Samotný pobyt v nemocnici by vydal příběhů a historek na jednu knihu. Můj stav se stále zhoršoval a jednoho dne, mi oznámili, že pojedu domů. Byl to pro mě dost šok, protože do té doby mi bylo řečeno, že jsem v ohrožení života a najednou můžu domů? „Ano, malujeme nemocnici a nemáme Vás kam umístit…..“ Aha…Dnes můžu říct: „Díky Bohu!“
Po měsíci a půl v nemocnici jsem měla necelých 40 kg a vypadala jsem doslova, jako bych se vrátila z koncentračního tábora. Doma jsem se velmi rychle vzpamatovala a začalo se mi mnohem lépe dařit. Nabrala jsem sílu a odhodlání. Také jsem začala opět více věřit svým pocitům.
Rozhodla jsem se, že musím najít nového lékaře a odejít z péče nemocnice, protože jsem ztratila veškerou důvěru k tomuto ústavu i personálu. Byl to dobrý krok a věci se začaly hýbat lepším směrem….
Ale dnes ležím tady v pyramidě a přemýšlím. Vzpomínám na léto v nemocnici, na dny po návratu domů. Měla jsem tak neuvěřitelnou radost ze života, že jsem nemohla spát, abych nezmeškala chviličku toho zázraku. Seznamovala jsem se opět s dcerkou a uvědomovala si znovu, že mám dítě. Opouštěla jsem ji jako spící miminko a po návratu z nemocnice mě vítala holčička, která začínala chodit a měla dva první zoubky. Vrátili jsme se zpět do našeho bytu. Našla jsem si nového lékaře, kterému důvěřuji. Beru kortikoidy. A vše by bylo v pořádku, kdybych neměla v sobě ten velký strach. Strach, že se to vrátí. Že budu muset jít zase do nemocnice, že budu opravdu celý život brát hormony, abych mohla normálně žít.
To nemůže být pravda. Musím pochopit, co se stalo, proč jsem onemocněla. Ležím a přemýšlím. A vzpomínám na to období po dceřiném narození. Začátkem roku se slavilo výročí osvobození Osvětimi. V televizi dávali dokumenty o Osvětimi a já jsem u nich plakala. Některé záběry a příběhy byly opravu šílené. Od dětství jsem mívala sny o koncentračním táboře. Snažila jsem se z něho utéct, prokopat se ven. Ale nedařilo se mi to. Jednou v noci, po sledování dokumentu o Osvětimi, jsem nemohla usnout. Přemýšlela jsem, jak moc se máme dobře, jak je úžasné, že jsme zdraví. Nikdy za svůj život jsem nezažila žádné velké problémy. Měla jsem pocit, že máme dlouhodobě velké štěstí a že přece není možné takové štěstí mít stále. Tehdy jsem si v mysli říkala: “Jestli má někdo v naší rodině trpět, ať jsem to já!“
Ležím v pyramidě a vzpomínám na ty pocity a něco mi dochází. Pro Boha! Co jsem to na sebe vzala? Co to je za nesmysl? Rozhodla jsem se trpět za celou rodinu a do měsíce jsem začala být nemocná. Ale jaký to má smysl? Určitě jsme se mnohému naučili, naši rodinu má nemoc posílila, ale také zatížila. Já jsem byla nemocná, ale všichni kolem mě to nesli hůř než já. Trpěli, protože si připadali bezradní, bylo to pro ně velmi náročné období.
Tehdy v pyramidě jsem si řekla: „Dost!“ Nechci trpět za druhé, k ničemu to nevede. Každý si musí jít vlastní cestou a já v tuto chvíli nenacházím v utrpení smysl. Tehdy v pyramidě jsem si myslela, že jsem pochopila svoji nemoc. Dnes vím, že jsem odloupla první vrstvu cibule a musela jsem ještě mnoho pochopit, abych mohla odloupnout i tu poslední a tím se definitivně uzdravit….
Pokračování ZDE
Kateřina Juřenčáková